+91 9983480971

Opening Hours: Morning 9 AM-2 PM & Evening 4:30 PM- 8:30 PM

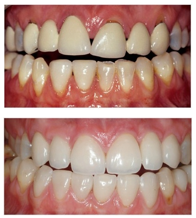
Cosmetic/ Aesthetic Dentistry

Cosmetic/ Aesthetic Dentistry
Cosmetic/ Aesthetic Dentistry

Cosmetic dentistry. Cosmetic dentistry is generally used to refer to any dental work that improves the appearance (though not necessarily the functionality) of teeth, gums and/or bite. It primarily focuses on improvement dental aesthetics in color, position, shape, size, alignment and overall smile appearance. Cosmetic dentistry is an upcoming beauty trend that improves the appearance of a person's teeth (whitening, crowns, veneers, implants, etc.), gums, bite and overall smile appearance.



Depigmentation of Gums
Cosmetic/ Aesthetic Dentistry

Many patients have cultural factors and imbalances of pigmentation components which form the basis for unusual colorations of ginigival tissues. The range of darkening effects can be spotted or splotchy (light and dark brown) all the way to nearly 100% of the gum tissues.

Black gums usually refers to the condition where all or most gum tissue is affected, with a complete brown appearance. Dark pigmentation of gums can be permanently removed using a surgical procedure. The dark pigmented areas are removed to expose the naturally pink tissue underneath.

Thus the result is a healthy smile that looks natural and radiates confidence. It can be performed on individuals of all ages. Healing of the treated tissues is fairly rapid. Discomfort for the patient, both during and after treatments is minimal. Patients commonly report having itchy gums for a short time during the post operative period. Gum Contouring “Gummy Smile” is visibly big gum line in which teeth appears too short. Gum Contouring is done to expose more tooth structure. It can be done for single multiple or entire set of teeth.



Teeth Whitening
Teeth Whitening

Teeth whitening is a cosmetic treatment done to improve the appearance of teeth. Teeth are whitened to remove the effects of coffee, cigarettes, and other substances that permanently stain or discolor teeth. Medications such asantibiotics like tetracycline may discolor teeth. Fluorosis, a condition caused by absorbing too much fluoride, couldaffect tooth color. Furthermore, aging also causes teeth to loose their bright color.

Teeth whitening is not safe or effective for everyone, so a person should have a dental exam before starting treatment. The dentist can advise the patient about the most appropriate procedure. The oral health professional will also discuss the expected results of treatment. Patients may expect yellow or gray teeth to be replaced with a bright, white color. However, whitening may not work well with some stain colors.

Whitening may not be recommended for people with gum disease, receding gums, or sensitive teeth. The dentist may advise against certain treatments if the enamel is worn. Enamel is the outer layer of the tooth. There is no enamel on an exposed tooth root, so the root cannot be whitened. In addition, cavities must be filled before treatment begins. Otherwise, the patient could experience additional mouth sensitivity when treatment material comes into contact with decay or the tooth interior.



Teeth Cleaning
Teeth Cleaning

A dental prophylaxis is a cleaning procedure performed to thoroughly clean the teeth. Prophylaxis is an important dental treatment for halting the progression of periodontal disease and gingivitis. Periodontal disease and gingivitis occur when bacteria from plaque colonize on the gingival (gum) tissue, either above or below the gum line. These bacteria colonies cause serious inflammation and irritation which in turn produce a chronic inflammatory response in the body. As a result, the body begins to systematically destroy gum and bone tissue, making the teeth shift, become unstable, or completely fall out. The pockets between the gums and teeth become deeper and house more bacteria which may travel via the bloodstream and infect other parts of the body.




Special Facilities

Schedule Appointment Online Instantly
Book an Appointment